यह तो हम जानते हैं कि कई जीव-जंतुओं में शिकारियों से अपने बचाव के लिए कई तरीके विकसित हुए हैं। कुछ का रंग-रूप या काया आसपास के पर्यावरण से घुल-मिल जाती है, तो कोई किसी दूसरे खतरनाक जीव सी काया धर लेता है। या गुलाब जैसे पौधों या साही जैसे जीवों में कांटे विकसित हुए हैं कि शिकारी उनसे दूर ही रहें। ये तो हुए शिकार बनने से बचने के तरीके, लेकिन शिकार बन जाएं तब क्या?
कार्टून वगैरह में तो ऐसा बहुत देखा होगा कि हीरो चरित्र शिकारी के पेट में गुदगुदी करके, उछल-कूद मचाकर या ऐसे ही किसी तरीके से उसे परेशान करके उसके पेट से सलामत बाहर निकल आता है। हाल ही में, ऐसा ही कुछ मामला हकीकत में होता दिखा है। करंट बायोलॉजी में प्रकाशित अध्ययन का एक्स-रे वीडियो खुलासा करता है कि जापानी ईल (Anguilla japonica) अपने शिकारी मछली के पेट से कैसे बाहर निकल जाती है।
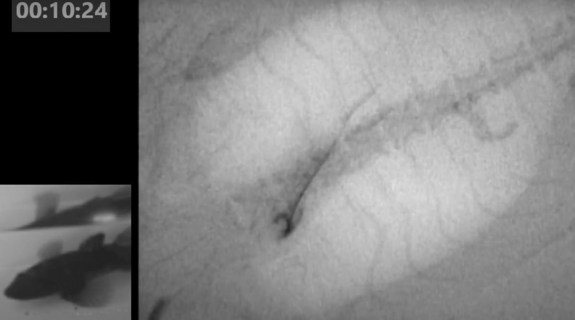
दरअसल, पूर्व में नागासाकी युनिवर्सिटी के शोधकर्ताओं ने पाया था कि जापानी ईल अपने शिकारी के पेट से गलफड़ों के रास्ते बाहर निकल आती है। लेकिन वह ऐसा करती कैसे है यह उन्हें ठीक-ठीक नहीं मालूम था।
इस बात को समझने के लिए शोधकर्ताओं ने 32 शिशु ईल में एक ऐसा पदार्थ (बैरियम सल्फेट) डाला जो एक्स-रे की नज़र की पकड़ में आ जाए। फिर उन्होंने ईल को डार्क स्लीपर (Odontobutis obscura) नामक एक शिकारी मछली के साथ छोटे टैंक में रखा।
जब ये ईल शिकार बने तो उन सभी ईल ने शिकारी के पेट से भागने की कोशिश की। एक्स-रे की मदद से पता चल पाया कि इनमें से कुछ ईल ने बाहर का रास्ता तलाशने के लिए शिकारी के पेट में चक्कर लगाया। लेकिन सभी ईल भागने में सफल नहीं हो पाई। सिर्फ 9 ईल ही बाहर निकल पाईं। जो बाहर निकलने में सफल हो पाईं, वे तैरकर वापिस शिकारी की ग्रासनली में गईं और फिर गलफड़ों के ज़रिए सरसराते हुए पूंछ को पहले बाहर निकालते हुए पूरी की पूरी सलामत बाहर निकलने में सफल हो गईं। (स्रोत फीचर्स)
ईल की इस करामात का विडियो पर देखने के लिए लिंक :
https://www.smithsonianmag.com/smart-news/watch-eels-make-a-great-escape-from-a-fishs-stomach-afterbeing-
swallowed-alive-180985055/
