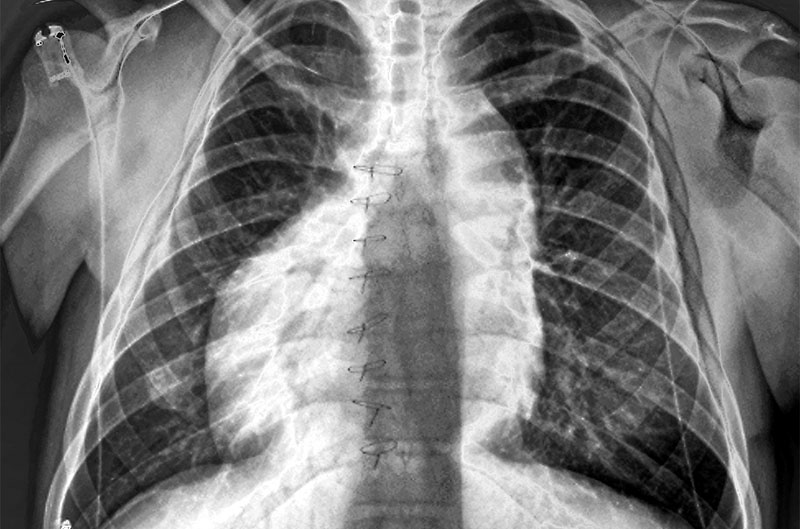
बाहर से देखने पर तो मनुष्य एकदम सुडौल, सममित लगते हैं यानी दाहिनी तरफ और बाईं तरफ एक से हाथ, पैर, आंखें, कान वगैरह होते हैं। लेकिन अंदर झांकेंगे तो मामला अलग होता है। सबको पता है कि दिल सीने में थोड़ा बाईं ओर होता है जबकि जिगर उदर में दाईं ओर। कुछ लोगों में ज़रूर इनमें से कुछ अंगों की स्थिति पलट जाती है। सवाल यह रहा है कि आखिर इन अंगों को अपनी सही स्थिति में पहुंचने का आदेश कहां से मिलता है। अब शोधकर्ताओं ने एक जीन खोज निकाला है जो इस व्यवस्था के लिए ज़िम्मेदार है।
भ्रूण के विकास का अध्ययन करने वाले वैज्ञानिकों को यह तो काफी समय से पता रहा है कि कुछ जीन्स ऐसे होते हैं जो भ्रूण की शुरुआती सममिति को तोड़ते हैं और अंगों को अपना पाला तय करने में मदद करते हैं। शोधकर्ता यह भी जानते थे कि दिल तथा कतिपय अन्य अंगों को मध्यरेखा से अलग स्थिति में पहुंचाने में कुछ कोशिकाओं की भूमिका है जिन्हें दायां-बायां व्यवस्थापक कहते हैं। 1998 में चूहों पर किए गए अध्ययनों के आधार पर जापान के वैज्ञानिकों ने सुझाया था कि इनमें से कुछ व्यवस्थापक-कोशिकाओं में रोम होते हैं और इन रोग की गति कुछ ऐसी होती है कि वे भ्रूण के तरल को बाईं ओर भेजते हैं, दाईं ओर नहीं। तरल के असमान प्रवाह की वजह से अंग सही जगहों पर बनते हैं। तरल का यह असमान प्रवाह बाईं ओर की कोशिकाओं में कुछ जीन्स को सक्रिय कर देता है। आगे चलकर पता चला कि मछलियों और मेंढकों में भी ऐसा ही होता है।
लेकिन अचरज की बात यह रही कि कोशिकाओं का ऐसा समूह मुर्गियों और सुअरों के विकसित होते भ्रूण में नहीं पाया जाता जबकि इनके दिल भी एक बाजू ही बनते हैं। कुछ शोधकर्ताओं का मत है कि घुमावदार गति वाले रोम जंतु विकास में काफी प्राचीन काल में प्रकट हुए थे लेकिन फिर किसी कारण से कुछ जंतुओं में ये लुप्त हो गए - जैसे सुअरों, स्तनधारियों में और पक्षियों में। लेकिन मनुष्यों में ये बरकरार रहे।
तो सिंगापुर के जीनोम इंस्टीट्यूट के ब्रुनो रेवरसेड और पेरिस के इमेजिन इंस्टीट्यूट के क्रिस्टोफर गॉर्डन देखना चाहते थे इस बेडौल विकास के लिए क्या कोई नया जीन ज़िम्मेदार है। इन शोधकर्ताओं के दल ने यह देखना शुरू किया कि वे कौन-से जीन हैं जो चूहों, मछलियों और मेंढकों के विकासमान भ्रूणों में तो सक्रिय होते हैं लेकिन सुअरों के विकास की उस अवस्था में अक्रिय होते हैं जब तरल का प्रवाह नहीं हो रहा होता।
शोधकर्ताओं ने नेचर जेनेटिक्स जर्नल में बताया है कि उन्हें पांच ऐसे जीन मिले। वे जानते थे कि वे सही दिशा में आगे बढ़ रहे हैं क्योंकि इन पांच में से तीन जीन्स के बारे में पहले से ही पता था कि वे प्रवाह-प्रेरित सममिति भ्रंश के लिए ज़िम्मेदार हैं। शेष रहे दो जीन्स। इनमें से एक का नामकरण सिरॉप (CIROP) किया गया है।
शोधकर्ताओं ने इस जीन में एक ऐसा परिवर्तन कर दिया कि जब यह सक्रिय हो तो एक चमक पैदा करे। इसकी मदद से शोधकर्ताओं को यह पता चला कि सिरॉप जीन ज़ेब्रा मछली, चूहों और मेंढकों के भ्रूण में मात्र कुछ घंटों के लिए सक्रिय रहता है जब दायां-बायां व्यवस्थापक बनता है। जब इस जीन को निष्क्रिय कर दिया गया तो पता चला कि इसकी ज़रूरत भ्रूण के सिर्फ बाएं हिस्से में होती है ताकि दिल, आंतें व पित्ताशय सही जगह पर बन जाएं। यानी सिरॉप इन अंगों की स्थिति निर्धारण में निर्णायक भूमिका निभाता है।
मनुष्यों की बात करें तो हर 10 हज़ार में से एक व्यक्ति गलत जगह स्थित अंगों के साथ पैदा होता है। इसे हेटेरोटैक्सी कहते हैं। रेवरसेड की टीम ने हेटेरोटैक्सी से ग्रस्त 183 लोगों के सिरॉप जीन का अनुक्रमण किया और उन्हें 12 परिवारों के 21 व्यक्तियों में सिरॉप में उत्परिवर्तन देखने को मिले। वैसे सिरॉप की खोज से इस समस्या का इलाज करने में कोई मदद शायद न मिले लेकिन यह महत्वपूर्ण तो है ही। शोधकर्ताओं को कुछ अंदाज़ तो है कि यह जीन सममिति को कैसे तोड़ता है लेकिन वे और अध्ययन करना चाहते हैं। (स्रोत फीचर्स)
-
Srote - March 2022
- कोविड-19 के एंडेमिक होने का मतलब
- टीकों को चकमा देता ओमिक्रॉन
- महामारी से उपजता मेडिकल कचरा
- अंग दाएं-बाएं कैसे जम जाते हैं?
- हींग के आणविक जीव विज्ञान की खोजबीन
- वृद्धावस्था में देखभाल का संकट और विकल्प
- इस वर्ष चीन की जनसंख्या घटना शुरू हो सकती है
- बालासुब्रमण्यम राममूर्ति: भारत में न्यूरोसर्जरी के जनक
- राजेश्वरी चटर्जी: एक प्रेरक व्यक्तित्व
- जेनेटिक अध्ययनों में ‘नस्ल’ शब्द के उपयोग में कमी
- जीवाश्म रिकॉर्ड का झुकाव अमीर देशों की ओर
- अमेज़न के जंगलों में पारा प्रदूषण
- भू-जल में रसायनों का घुलना चिंताजनक
- जलकुंभी: कचरे से कंचन तक की यात्रा
- मनुष्यों में खट्टा स्वाद क्यों विकसित हुआ
- शिशु जानते हैं जूठा खा लेने वाला अपना है
- बर्फ में दबा विशाल मछली प्रजनन क्षेत्र
- मनुष्य निर्मित पहला संकर पशु कुंगा
- हरी रोशनी की मदद से जंतु-संरक्षण
- बच्चों को बचाने के लिए मादा इश्क लड़ाती है
- शीतनिद्रा में गिलहरियां कैसे कमज़ोर नहीं होतीं?
- मस्तिष्क बड़ा होने में मांसाहार की भूमिका
- तेज़ी से पिघलने लगे हैं ग्लेशियर
