लेखक: भास बापट
अनुवाद: सुशील जोशी [Hindi PDF, 328 kB]
आप अपनी नंगी आँखों से सबसे छोटी चीज़ कौन-सी देख सकते हैं? बाल के बराबर मोटी? या उससे भी दस गुना बारीक? जी हाँ, यही हमारी दृष्टि की न्यूनतम सीमा है। यह लगभग 20 माइक्रोमीटर है (एक मि.मी. का पचासवाँ हिस्सा) और इससे छोटी चीज़ को हम नहीं देख पाते हैं।
यदि इससे भी छोटी चीज़ों को साफ-साफ देखना चाहें तो हमें सूक्ष्मदर्शी का उपयोग करना पड़ता है। सूक्ष्मदर्शी और कुछ नहीं लेंसों की एक व्यवस्था होती है जो वस्तु का बड़ा प्रतिबिम्ब बना देती है। ऐसे सूक्ष्मदर्शी प्रकाशीय सूक्ष्मदर्शी कहलाते हैं और ये वस्तु का अधिकतम 1000 गुना बड़ा प्रतिबिम्ब बनाते हैं। इसका मतलब यह हुआ कि प्रकाशीय सूक्ष्मदर्शी की मदद से हम 200 नैनोमीटर साइज़ की वस्तुओं को देख सकते हैं।
प्रकाशीय सूक्ष्मदर्शी के आगे
परमाणु इससे भी छोटे होते हैं। यदि हम वस्तुओं की परमाणु संरचना को देखना चाहते हैं तो हमें बेहतर व्यवस्था करनी होगी। कोई सूक्ष्मदर्शी कितनी छोटी वस्तु को देखने में मददगार होगा, यह सूक्ष्मदर्शी की गुणवत्ता पर नहीं बल्कि स्वयं प्रकाश के गुणधर्मों पर निर्भर है। प्रकाश की तरंग-लम्बाई लगभग 500 नैनोमीटर होती है। यह समझने की कोशिश करते हैं कि प्रकाश की तरंग-लम्बाई देखी जाने वाली वस्तु की साइज़ का निर्धारण कैसे करती है।
इस बात को एक उपमा की मदद से समझने की कोशिश करते हैं। किसी तालाब या पोखर में उठती तरंगों को देखिए। यदि हम तालाब में फैलती तरंगों के रास्ते में एक छड़ी खड़ी कर दें, तो तरंगों का पैटर्न बिगड़ जाता है। मगर ऐसा तभी होता है जब छड़ की मोटाई तरंगों की अपनी तरंग-लम्बाई के बराबर या उससे ज़्यादा हो। यदि छड़ी (या कोई भी अवरोध) बहुत बारीक है, तो तरंगों के पैटर्न में कोई फर्क नज़र नहीं आएगा। प्रकाश तरंगों के मामले में भी स्थिति कुछ इसी तरह की होती है। मोटे तौर पर कहा जा सकता है कि प्रकाश उन्हीं वस्तुओं को स्पष्ट रूप में अलग-अलग दिखा सकता है जिनकी साइज़ सम्बन्धित प्रकाश की तरंग-लम्बाई प्रकाश की तरंग-लम्बाई द्वारा आरोपित सीमा को तोड़ने का एक तरीका तो यह है कि हम कम तरंग-लम्बाई वाला प्रकाश इस्तेमाल करें। जैसे एक्स-रे की तरंग-लम्बाई सामान्य प्रकाश की अपेक्षा कम होती है। यदि सूक्ष्म वस्तुओं को आवर्धित करने के लिए एक्स-रे का उपयोग किया जाए, तो हम 1 नैनोमीटर के स्तर की वस्तुएँ देख सकते हैं। मगर एक्स-रे के साथ एक दिक्कत यह है कि उसके सन्दर्भ में ऐसे पदार्थ मिलना बहुत मुश्किल हैं जिनका उपयोग लेंस व दर्पण आदि बनाने में किया जा सके। अब सूक्ष्मदर्शी में लेंस वगैरह तो लगेंगे, ना? लिहाज़ा एक्स-रे सूक्ष्मदर्शी अव्यावहारिक है। तो फिर विकल्प क्या है?
इस समस्या का समाधान हो सकता है यदि हम प्रकाश पुंज की जगह इलेक्ट्रॉन पुंज का उपयोग करें। ऐसा करना इसलिए सम्भव है क्योंकि अत्यन्त सूक्ष्म स्तर पर पदार्थों में एक अजीबो-गरीब गुण पाया जाता है। परमाणु की साइज़ तक पहुँचते-पहुँचते पदार्थ के कण दोहरी प्रकृति दिखाने लगते हैं। वे कणों के रूप में भी व्यवहार करते हैं और तरंगों के रूप में भी।
तो, इलेक्ट्रॉन, प्रोटॉन या न्यूट्रॉन जैसे कणों का एक पुंज कुछ परिस्थितियों में उसी तरह व्यवहार करेगा जैसे कि प्रकाश पुंज करता है। इन कणों में द्रव्यमान होता है। ऐसे द्रव्यमान-युक्त कणों से सम्बद्ध तरंगों को पदार्थ-तरंगें कहते हैं।
पदार्थ की इस दोहरी प्रकृति को विक्टर लुई डी ब्रॉइल (louis de broglie) ने 1924 में पहचाना था। उनकी इस खोज ने क्वांटम यांत्रिकी के आधुनिक सिद्धान्त का मार्ग प्रशस्त किया था। इस सिद्धान्त ने ऐसे कई सवालों के जवाब प्रदान किए हैं, जो क्लासिकल यांत्रिकी के लिए अबूझ पहेलियाँ बने हुए थे।
डी ब्रॉइल ने सुझाव दिया था कि यदि किसी सूक्ष्म कण का संवेग द्र है तो उससे सम्बद्ध पदार्थ-तरंग की तरंग-लम्बार्ई उ ण्/द्र होगी। इस समीकरण में ण् एक स्थिरांक है जिसे प्लांक स्थिरांक कहते हैं। सरल शब्दों में कहें, तो इन कणों से सम्बद्ध पदार्थ-तरंग की तरंग-लम्बाई उनके संवेग के व्युत्क्रमानुपाती होती है। अर्थात् यदि कण का संवेग अधिक है तो उससे सम्बद्ध पदार्थ-तरंग की तरंग-लम्बाई कम होगी। साधारण ऊर्जा वाले इलेक्ट्रॉन-पुंज की तरंग-लम्बाई एक नैनोमीटर से कम होती है।
ये इलेक्ट्रॉन तरंगें लगभग वही कार्य कर सकती हैं जो प्रकाश तरंगें किसी पदार्थ में से गुज़रते हुए या परावर्तित होते हुए करती हैं। यदि एक इलेक्ट्रॉन-पुंज किसी सतह पर गिरे या किसी महीन झिल्ली में से आर-पार निकले तो मार्ग में आने वाले कण उसे प्रभावित करते हैं। इसका असर यह होगा कि जो इलेक्ट्रॉन-पुंज सतह से टकराकर वापिस आएगा या आर-पार निकलकर किसी पर्दे पर पहुँचेगा उसमें हमें परिवर्तन देखने को मिलेंगे। ये परिवर्तन उस पदार्थ की अन्दरुनी संरचना की वजह से हुए हैं। अत: इन परिवर्तनों का विश्लेषण करके हम पदार्थ की आन्तरिक संरचना के विषय में जान सकते हैं। खास तौर से इलेक्ट्रॉन के मार्ग में जो विचलन होगा उसका सम्बन्ध पदार्थ की सतह की बनावट से जोड़ा जा सकता है।
इलेक्ट्रॉन के सन्दर्भ में एक महत्वपूर्ण बात यह है कि ये आवेशित कण होते हैं। अत: विद्युतीय अथवा चुम्बकीय बल लगाकर इनके मार्ग को बदला जा सकता है। यह ठीक उसी प्रकार से होता है जैसे प्रकाश के मामले में लेंस की मदद से किया जाता है। यानी इलेक्ट्रॉन-पुंज के मार्ग को विद्युतीय या चुम्बकीय बल क्षेत्र लगाकर ज़रूरत के अनुरूप बदला जा सकता है। साधारण प्रकाश और इलेक्ट्रॉन-पुंज के बीच इस तरह की समानता को देखते हुए ही इलेक्ट्रॉन सूक्ष्मदर्शी का विचार पैदा हुआ था।
ज़ाहिर है कि हम इलेक्ट्रॉन को या उससे सम्बद्ध पदार्थ-तरंग को देख नहीं सकते। मगर हमें सिर्फ अपनी आँखों के भरोसे रहने की ज़रूरत नहीं है। ऐसे उपकरण उपलब्ध हैं जो इलेक्ट्रॉन के आगमन को रिकॉर्ड कर सकते हैं और हमें एक फोटोग्राफ-नुमा पैटर्न दिखा सकते हैं। अर्थात् जब इलेक्ट्रॉन ऐसे उपकरण पर पहुँचेंगे तो ये इस बात को रिकॉर्ड करेंगे और अन्त में पूरे इलेक्ट्रॉन-पुंज का पैटर्न प्रस्तुत कर देंगे।
प्रकाशीय सूक्ष्मदर्शी के मुकाबले इसमें सबसे बड़ा फायदा तो यही है कि हम काफी सूक्ष्म - करीब 0.1 नैनोमीटर के पैमाने पर ‘देख’ सकते हैं। कुल मिलाकर इलेक्ट्रॉन सूक्ष्मदर्शी एक ऐसा उपकरण है जो उच्च-ऊर्जा वाले इलेक्ट्रॉन के एक पुंज से सम्बद्ध पदार्थ-तरंगों का उपयोग करता है और यह देखता है कि किसी पदार्थ में से गुज़रने पर या किसी सतह से टकराकर परावर्तित होने पर इलेक्ट्रॉन-पुंज में किस तरह के परिवर्तन होते हैं और उनका विश्लेषण करके उस पदार्थ की बारीक संरचना का एक प्रतिबिम्ब निर्मित करता है। इलेक्ट्रॉन सूक्ष्मदर्शी की मदद से करीब पाँच करोड़ गुना तक आवर्धन सम्भव है। इसका आविष्कार जर्मनी के अन्र्स्ट रुस्का ने 1931 में किया था।
इलेक्ट्रॉन सूक्ष्मदर्शी के गुण
अब ज़रा यह देखें कि इलेक्ट्रॉन सूक्ष्मदर्शी के अन्दर होता क्या है। मोटे तौर पर पूरी व्यवस्था प्रकाशीय सूक्ष्मदर्शी के समान ही होती है। मगर इसमें प्रतिबिम्ब निर्माण के लिए प्रकाश का उपयोग नहीं होता और चीज़ों को कहीं अधिक बारीकी से देखा जा सकता है।
इलेक्ट्रॉन सूक्ष्मदर्शी में एक विशेष फर्क यह होता है कि पूरे उपकरण को निर्वात में रखा जाता है। दूसरा अन्तर यह दिखता है कि प्रकाशीय सूक्ष्मदर्शी के मुकाबले इलेक्ट्रॉन सूक्ष्मदर्शी काफी विशाल होता है - इसकी लम्बाई-चौड़ाई लगभग आधा-आधा मीटर होती है। लिहाज़ा, इसे यहाँ-वहाँ ले जाया नहीं जा सकता।
इलेक्ट्रॉन सूक्ष्मदर्शी के प्रमुख घटक हैं - निर्वात तंत्र, इलेक्ट्रॉन गन, इलेक्ट्रॉन-पुंज निर्देशक, नमूने को रखने का साधन और डिटेक्टर।
निर्वात आवरण स्टेनलेस स्टील या एल्यूमिनियम का बना होता है और शेष सारे घटक इसके अन्दर कैद होते हैं। इस निर्वात पात्र में ऐसी व्यवस्था होती है कि इलेक्ट्रॉन-पुंज और अध्ययन किए जा रहे पदार्थ को बाहर से ही हैण्डल किया यानी हिलाया-डुलाया जा सकता है। इस पात्र में वायु का दबाव बाहरी वायुमण्डल से कई अरब गुना कम होता है। इतना कम दबाव हासिल करने के लिए विशेष निर्वात पम्प लगे होते हैं, जो लगातार काम करते रहते हैं। देखा जाए, तो इलेक्ट्रॉन सूक्ष्मदर्शी का सबसे बड़ा हिस्सा निर्वात आवरण ही होता है।
दूसरा सबसे बड़ा घटक होता है इलेक्ट्रॉन गन और इससे जुड़ी विद्युतीय इकाई। यह इलेक्ट्रॉन गन यानी बन्दूक उच्च ऊर्जा वाले इलेक्ट्रॉन का एक बारीक पुंज पैदा करती है और उसे फोकस करने व निर्देशित करने का काम करती है। इलेक्ट्रॉन पुंज पैदा करने के लिए एक कैथोड लगा होता है। इस कैथोड को करीब 1000 डिग्री सेल्सियस पर गर्म किया जाए तो इसमें से भरपूर मात्रा में इलेक्ट्रॉन निकलते हैं। इन इलेक्ट्रॉन को गति देने के लिए कैथोड और एक अन्य इलेक्ट्रोड (एनोड) के बीच ऊँचा वोल्टेज आरोपित किया जाता है। इसका मान 20-50 किलोवोल्ट तक होता है। तुलना के लिए आप देख सकते हैं कि हम टॉर्च वगैरह में जिन सेल्स का उपयोग करते हैं उनका वोल्टेज मात्र 1.5 वोल्ट होता है।
इलेक्ट्रॉन सूक्ष्मदर्शी में इलेक्ट्रोड्स का एक सेट और होता है। ये इलेक्ट्रोड छल्लों व सुराखों के रूप में होते हैं। इनमें वोल्टेज को घटा-बढ़ाकर इलेक्ट्रॉन पुंज को सही रास्ते पर भेजने व फोकस करने का काम किया जाता है। ज़्यादा जटिल इलेक्ट्रॉन गन में विद्युत कुण्डलियाँ भी लगी होती हैं। इनकी मदद से चुम्बकीय क्षेत्र पैदा किया जाता है। विद्युत व चुम्बकीय क्षेत्र की मदद से इलेक्ट्रॉन पुंज को ज़्यादा पैना व सघन बनाने में मदद मिलती है। इलेक्ट्रॉन पुंज जितना पैना होगा, प्रतिबिम्ब उतना ही स्पष्ट होगा और उसमें कॉन्ट्रास्ट भी बेहतर होगा। दूसरी ओर, यदि इलेक्ट्रॉन-पुंज की ऊर्जा अधिक है, तो वह आपको बेहतर विभेदन उपलब्ध कराएगा और अध्ययन किए जा रहे पदार्थ में ज़्यादा अन्दर तक पहुँच सकेगा।
20-50 किलो इलेक्ट्रॉन वोल्ट ऊर्जा वाले इलेक्ट्रॉन-पुंज की तरंग-लम्बाई 0.09 नैनोमीटर से 0.06 नैनोमीटर की रेंज में होती है। तुलना के लिए यह देख सकते हैं कि हाइड्रोजन परमाणु की साइज़ तकरीबन 0.06 नैनोमीटर है। इसका मतलब यह हुआ कि ये इलेक्ट्रॉन-पुंज सिद्धान्तत: तो परमाणु की साइज़ के स्तर पर रचनाओं में विभेद कर सकते हैं।
इलेक्ट्रॉन-पुंज को आप नमूने की सतह से परावर्तन के रूप में भी देख सकते हैं और नमूने के आर-पार गुज़रने के बाद भी देख सकते हैं। जब आप परावर्तित इलेक्ट्रॉन-पुंज का अध्ययन करते हैं तो किसी ठोस वस्तु की सतह की संरचना के गुणधर्मों को देखा जा सकता है। दूसरी ओर पारगमन शैली में आप ठोस वस्तु की सतह के नीचे की संरचना का अध्ययन कर सकते हैं, मगर इसके लिए ज़रूरी होता है कि वस्तु अत्यन्त पतली हो। पारगमन शैली में विभेदन बहुत बढ़िया होता है मगर अक्सर परावर्तन आधारित अध्ययन ज़्यादा उपयोगी होता है क्योंकि इसमें अपेक्षाकृत मोटी वस्तु को लेकर उसकी सतह की संरचना का अध्ययन किया जा सकता है।
इलेक्ट्रॉन-पुंज के लिए डिटेक्टर प्राय: एक काँच की प्लेट होती है जिस पर कोई फ्लोरेसेंट पदार्थ पुता होता है। यह लगभग टेलीविज़न के पर्दे जैसा होता है। जब इस पर्दे पर इलेक्ट्रॉन आकर टकराते हैं तो प्रकाश पैदा होता है और हमें एक दृश्य प्रतिबिम्ब प्राप्त होता है। आजकल डिटेक्टर के रूप में इलेक्ट्रॉनिक संवेदी चिप्स (सीसीडी) का उपयोग होता है। इसकी मदद से डिजिटल कैमरे के समान प्रतिबिम्ब प्राप्त होता है।
जिस नमूने का अध्ययन करना हो, उसे एक छोटे-से पात्र में रखा जाता है। नमूना रखने से पहले उस पात्र में निर्वात खत्म किया जाता है। नमूना रखने के बाद पात्र को सील कर दिया जाता है और उसमें फिर से निर्वात पैदा किया जाता है।
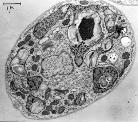
अक्सर एक नमूना-पात्र में एक-साथ कई नमूने रख दिए जाते हैं ताकि एक ही बार में उन सबके अवलोकन रिकॉर्ड किए जा सकें। एक शर्त यह होती है कि नमूना (आंशिक रूप से) विद्युत का चालक हो। इसलिए गैर-चालक नमूने को तैयार करने में एक कदम और जुड़ जाता है - इस पर एक महीन चालक परत चढ़ानी होती है। इसके अलावा एक और शर्त यह होती है कि नमूने में पानी जैसा कोई वाष्पशील पदार्थ न हो। एक गौरतलब बात यह है कि चूँकि इलेक्ट्रॉन सूक्ष्मदर्शी में पूरा काम निर्वात में होता है, इसलिए यह असम्भव है कि इसकी मदद से किसी जीवित कोशिका का अवलोकन हो पाए। लिहाज़ा, इलेक्ट्रॉन सूक्ष्मदर्शी से सजीवों के जो प्रतिबिम्ब प्राप्त होते हैं वे मृत कोशिकाओं के होते हैं।
इलेक्ट्रॉन सूक्ष्मदर्शी अवलोकन का एक निहायत मूल्यवान उपकरण साबित हुआ है। इसकी मदद सेे पदार्थ की संरचना का खुलासा अत्यन्त सूक्ष्म स्तर - लगभग परमाणुओं के पैमाने - पर सम्भव हुआ है। इलेक्ट्रॉन सूक्ष्म-दर्शियों से हमें कोशिकाओं, वायरसों, प्रोटीन्स वगैरह की संरचना को बहुत ही बारीकी से समझने में मदद मिली है। इनका उपयोग आणविक जीव विज्ञान अनुसंधान से लेकर उल्काओं के अध्ययन और इंजीनियरिंग सामग्री में संरचनागत नुक्स पहचानने जैसे विविध क्षेत्रों में होता है।
भास बापट: कई साल तक फिज़िकल रिसर्च लेबोरेटरी, अहमदाबाद में शोधकार्य करने के बाद अभी-अभी इन्होंने भारतीय विज्ञान शिक्षा एवं अनुसन्धान संस्थान, पुणे ज्वाइन किया है। परमाणु और आणविक भौतिक विज्ञान में प्रायोगिक शोध करते हैं। शिक्षण और शिक्षा में रुचि रखते हैं।
अँग्रेज़ी से अनुवाद: सुशील जोशी: एकलव्य द्वारा संचालित स्रोत फीचर सेवा से जुड़े हैं। विज्ञान शिक्षण व लेखन में गहरी रुचि।
यह लेख ‘स्रोत फीचर्स’ के अंक दिसम्बर, 2013 से लिया गया है।
